بیماریهای لثه
بیماریهای لثه از شایعترین مشکلات دهان و دندان هستند که بسیاری از افراد بدون آگاهی از وجود آنها، درگیر این عارضه میشوند. این بیماریها معمولاً بهصورت التهاب خفیف لثه آغاز شده و در صورت بیتوجهی میتوانند به مراحل پیشرفتهتری مانند پریودنتیت برسند که سلامت دندانها و حتی استخوان فک را تهدید میکند. شناخت علائم اولیه، دلایل بروز و روشهای درمان و پیشگیری از بیماریهای لثه نقش مهمی در حفظ سلامت دهان و افزایش طول عمر دندانها دارد.
بیماری لثه چیست؟
بیماری لثه به مجموعهای از عفونتها، التهابات و آسیبهای بافتهای نگهدارنده دندان شامل لثه، رباط پریودنتال و استخوان فک گفته میشود که عمدتاً در اثر تجمع پلاکهای میکروبی و جرم دندانی روی سطح دندانها و در امتداد خط لثه ایجاد میگردد. پلاک دندانی لایهای چسبنده و بیرنگ است که از باکتریها، مواد غذایی و بزاق تشکیل شده و در صورت عدم پاکسازی منظم، به جرم سخت تبدیل میشود. باکتریهای موجود در پلاک، سمومی ترشح میکنند که باعث تحریک لثه، ایجاد التهاب و در نهایت تخریب بافتهای اطراف دندان میشوند. بیماریهای لثه معمولاً بهصورت تدریجی و بدون علائم شدید آغاز میشوند، اما در صورت بیتوجهی میتوانند پیامدهای جدی و جبرانناپذیری برای سلامت دهان و دندان به همراه داشته باشند.

علل و عوامل خطر بیماریهای لثه
بیماریهای لثه مانند ژنژیویت و پریودنتیت معمولاً نتیجهی تعامل چند عامل مختلف هستند و بهندرت تنها به یک علت محدود میشوند. آشنایی با این عوامل خطر نقش مهمی در پیشگیری، تشخیص زودهنگام و کنترل بیماری دارد. مهمترین علل و عوامل خطر بیماریهای لثه عبارتاند از:
رعایت نکردن بهداشت دهان و دندان اصلیترین عامل ایجاد بیماریهای لثه، مسواک نزدن صحیح و منظم و استفاده نکردن از نخ دندان است. باقی ماندن ذرات غذا روی دندانها باعث تجمع پلاکهای میکروبی شده و زمینه التهاب و عفونت لثه را فراهم میکند.
تجمع پلاک و جرم دندانی پلاک دندانی در صورت پاک نشدن، به مرور زمان به جرم سخت تبدیل میشود که تنها با جرمگیری حرفهای قابل حذف است. جرم دندانی محیط مناسبی برای رشد باکتریها ایجاد کرده و التهاب مزمن لثه را تشدید میکند.
مصرف سیگار و دخانیات سیگار و سایر محصولات دخانی با کاهش جریان خون در لثهها، تضعیف سیستم ایمنی و کاهش توان ترمیم بافتها، خطر ابتلا به بیماریهای لثه را بهطور قابلتوجهی افزایش میدهند. افراد سیگاری معمولاً علائم بیماری را دیرتر متوجه میشوند و پاسخ ضعیفتری به درمان دارند.
دیابت کنترلنشده دیابت بهویژه در صورت کنترل نشدن، باعث کاهش مقاومت بدن در برابر عفونتها میشود. بیماران دیابتی بیشتر در معرض ژنژیویت و پریودنتیت قرار دارند و بیماری لثه نیز میتواند کنترل قند خون را دشوارتر کند.
تغییرات هورمونی نوسانات هورمونی در دوران بارداری، بلوغ، قاعدگی و یائسگی میتواند حساسیت لثهها را افزایش دهد و آنها را مستعد التهاب و خونریزی کند. به همین دلیل، رعایت بهداشت دهان در این دورهها اهمیت بیشتری دارد.
استرس مزمن استرس طولانیمدت با تضعیف سیستم ایمنی بدن و ایجاد عادات نادرست مانند دندانقروچه یا بیتوجهی به بهداشت دهان، خطر ابتلا به بیماریهای لثه را افزایش میدهد.
مصرف برخی داروها برخی داروها مانند داروهای ضدافسردگی، داروهای فشار خون، داروهای ضدصرع و داروهای کاهشدهنده ترشح بزاق میتوانند با ایجاد خشکی دهان یا تغییر در بافت لثه، احتمال بروز بیماریهای لثه را افزایش دهند.
ضعف سیستم ایمنی افرادی که به بیماریهای تضعیفکننده سیستم ایمنی مانند HIV، سرطان یا بیماریهای خودایمنی مبتلا هستند، بیشتر در معرض عفونتهای لثهای قرار دارند و روند پیشرفت بیماری در آنها سریعتر است.
عوامل ژنتیکی برخی افراد بهصورت ژنتیکی مستعد ابتلا به بیماریهای لثه هستند، حتی اگر بهداشت دهان و دندان را بهخوبی رعایت کنند. در این افراد، معاینات منظم دندانپزشکی اهمیت ویژهای دارد.
مراحل پیشرفت بیماریهای لثه
بیماریهای لثه معمولاً بهصورت تدریجی و در چند مرحله مشخص پیشرفت میکنند. شناخت این مراحل کمک میکند تا بیماری در زمان مناسب تشخیص داده شده و از رسیدن به مراحل غیرقابل بازگشت جلوگیری شود.
1. تشکیل پلاک دندانی
اولین مرحله بیماریهای لثه با تجمع پلاک دندانی آغاز میشود. پلاک لایهای نرم، چسبنده و حاوی باکتریهاست که در اثر باقی ماندن ذرات غذایی روی دندانها تشکیل میشود. در صورت مسواک نزدن و استفاده نکردن از نخ دندان، این پلاک بهسرعت افزایش یافته و محیط مناسبی برای رشد باکتریهای مضر فراهم میکند.
2. التهاب و خونریزی لثه (ژنژیویت)
با تجمع پلاک، لثهها دچار التهاب، قرمزی و خونریزی میشوند. در این مرحله که ژنژیویت نام دارد، هنوز استخوان فک و بافتهای عمقی درگیر نشدهاند. علائمی مانند خونریزی هنگام مسواک زدن، تورم و حساسیت لثه مشاهده میشود. این مرحله کاملاً قابل درمان است و با رعایت بهداشت دهان و درمان ساده میتوان آن را متوقف کرد.
3. تشکیل پاکت لثهای
در صورت عدم درمان ژنژیویت، التهاب لثهها تشدید شده و لثه از دندان فاصله میگیرد. این فاصلهها که به آنها پاکت لثهای گفته میشود، محل تجمع بیشتر باکتریها و مواد غذایی هستند. در این مرحله تمیز کردن دندانها با مسواک و نخ دندان معمولی دشوارتر میشود.
4. تحلیل استخوان فک (پریودنتیت)
با پیشرفت بیماری، عفونت به بافتهای نگهدارنده دندان و استخوان فک گسترش پیدا میکند. در این مرحله که پریودنتیت نام دارد، استخوان اطراف دندان شروع به تحلیل رفتن میکند. این آسیبها اغلب غیرقابل بازگشت بوده و میتوانند ثبات دندانها را بهطور جدی تهدید کنند.
5. لق شدن و از دست رفتن دندان
در مراحل پیشرفته پریودنتیت، به دلیل تحلیل شدید استخوان و تخریب بافتهای نگهدارنده، دندانها لق شده و در نهایت ممکن است بهطور کامل از دست بروند. در این مرحله، درمانهای پیچیدهتری مانند جراحی لثه، بازسازی استخوان یا حتی کشیدن دندان ضروری خواهد بود.

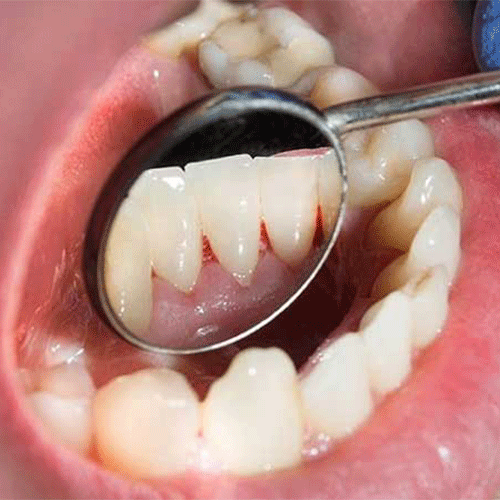
روشهای تشخیص بیماریهای لثه
تشخیص زودهنگام بیماریهای لثه نقش بسیار مهمی در موفقیت درمان و جلوگیری از پیشرفت بیماری دارد. دندانپزشک با استفاده از ترکیبی از معاینات بالینی و ابزارهای تشخیصی، وضعیت سلامت لثهها را بررسی میکند.
- معاینه بالینی لثهها
در اولین مرحله، دندانپزشک وضعیت رنگ، شکل و قوام لثهها را بررسی میکند. لثه سالم صورتیرنگ و سفت است، در حالی که لثه ملتهب معمولاً قرمز، متورم و حساس میباشد.
- بررسی خونریزی و التهاب
وجود خونریزی هنگام معاینه یا مسواک زدن یکی از نشانههای مهم بیماری لثه است. دندانپزشک با بررسی میزان و محل خونریزی میتواند شدت التهاب را ارزیابی کند.
- اندازهگیری عمق پاکت لثه
با استفاده از ابزار مخصوصی به نام پروب پریودنتال، عمق فاصله بین لثه و دندان اندازهگیری میشود. افزایش عمق پاکت لثه نشانه پیشرفت بیماری و احتمال درگیری استخوان فک است.
- عکسبرداری رادیولوژی
تصویربرداری رادیولوژی (مانند رادیوگرافی پانورامیک یا پریاپیکال) برای بررسی میزان تحلیل استخوان فک و تشخیص پریودنتیت استفاده میشود. این روش به دندانپزشک کمک میکند تا شدت بیماری و بهترین روش درمان را مشخص کند.

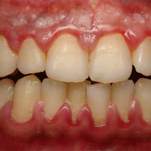
ژنژیویت (التهاب لثه) چیست؟
ژنژیویت خفیفترین و شایعترین مرحله بیماری لثه است که در آن تنها بافت نرم لثه دچار التهاب میشود و هنوز آسیبی به استخوان و بافتهای عمقی نگهدارنده دندان وارد نشده است. این بیماری اغلب در اثر رعایت نکردن بهداشت دهان و دندان و تجمع پلاکهای میکروبی ایجاد میشود. از آنجا که ژنژیویت معمولاً بدون درد یا با علائم خفیف همراه است، بسیاری از افراد متوجه ابتلای خود نمیشوند و درمان آن را به تعویق میاندازند. در صورت تشخیص و درمان بهموقع، ژنژیویت کاملاً قابل درمان و برگشتپذیر است.
علائم ژنژیویت
علائم ژنژیویت ممکن است خفیف یا تدریجی ظاهر شوند و شامل موارد زیر هستند:
- قرمزی، التهاب و تغییر رنگ لثهها
- خونریزی لثه هنگام مسواک زدن یا استفاده از نخ دندان
- تورم و حساسیت لثهها
- بوی بد دهان یا طعم نامطبوع مداوم در دهان
- احساس ناراحتی، سوزش یا درد خفیف در ناحیه لثه
توجه به این علائم و مراجعه زودهنگام به دندانپزشک میتواند از پیشرفت بیماری جلوگیری کند.
درمان ژنژیویت
درمان ژنژیویت ساده، غیرتهاجمی و کمهزینه است و در صورت تشخیص زودهنگام، نتایج بسیار موفقی دارد.
جرمگیری حرفهای دندانها جرمگیری توسط دندانپزشک یا بهداشتکار دهان انجام شده و پلاکها و جرمهای تجمعیافته روی دندان و زیر لثه را حذف میکند.
آموزش صحیح مسواک زدن و نخ دندان اصلاح روشهای بهداشت دهان، از جمله آموزش نحوه صحیح مسواک زدن و استفاده اصولی از نخ دندان، نقش کلیدی در جلوگیری از بازگشت بیماری دارد.
استفاده از دهانشویههای ضدباکتری دهانشویههای حاوی ترکیبات ضدباکتری به کاهش التهاب و کنترل باکتریهای مضر کمک میکنند.
رعایت منظم بهداشت دهان و دندان مسواک زدن منظم، استفاده از نخ دندان و مراجعه دورهای به دندانپزشک، روند بهبود لثهها را تسریع میکند.
در صورت درمان بهموقع، علائم ژنژیویت طی چند هفته کاهش یافته و لثهها به وضعیت طبیعی بازمیگردند.
چرا ژنژیویت خطرناک است؟
اگرچه ژنژیویت در مراحل اولیه یک بیماری ساده و قابل درمان به نظر میرسد، اما در صورت بیتوجهی و عدم درمان میتواند به مرحله پیشرفتهتری به نام پریودنتیت تبدیل شود. در پریودنتیت، علاوه بر لثه، استخوان فک و بافتهای نگهدارنده دندان نیز تخریب میشوند که این موضوع میتواند منجر به عقبنشینی لثه، لق شدن دندانها و در نهایت از دست رفتن آنها شود. بنابراین، تشخیص زودهنگام ژنژیویت و شروع درمان، نقش بسیار مهمی در پیشگیری از عوارض جدی و حفظ سلامت دهان و دندان دارد.

پریودنتیت چیست؟
پریودنتیت مرحله پیشرفته، مزمن و خطرناک بیماریهای لثه است که در آن التهاب و عفونت از بافت نرم لثه فراتر رفته و به استخوان فک و بافتهای نگهدارنده دندان (رباط پریودنتال) گسترش مییابد. این بیماری معمولاً در نتیجه عدم درمان ژنژیویت ایجاد میشود و بهصورت تدریجی اما پیشرونده پیشرفت میکند. در پریودنتیت، باکتریها و سموم تولیدشده توسط آنها باعث تخریب بافتهای اطراف دندان شده و در بسیاری از موارد، آسیبهای ایجادشده غیرقابل بازگشت هستند. در صورت عدم درمان، پریودنتیت میتواند به لق شدن دندانها و در نهایت از دست رفتن آنها منجر شود.
علائم پریودنتیت
علائم پریودنتیت معمولاً شدیدتر و مداومتر از ژنژیویت هستند و ممکن است بهتدریج ظاهر شوند:
- عقبنشینی لثه و نمایان شدن ریشه دندان با تخریب بافتهای نگهدارنده، لثه از سطح دندان فاصله گرفته و ریشه دندان نمایان میشود که میتواند باعث حساسیت شدید به سرما و گرما گردد.
- لق شدن یا جابهجایی دندانها تحلیل استخوان فک باعث کاهش ثبات دندانها شده و دندانها ممکن است لق شوند یا موقعیت طبیعی خود را از دست بدهند.
- ایجاد فاصله بین دندانها با تحلیل استخوان و عقبنشینی لثه، فاصله بین دندانها افزایش مییابد و ظاهر لبخند تغییر میکند.
- تشکیل پاکتهای عمیق لثه در پریودنتیت، پاکتهای عمیقی بین دندان و لثه ایجاد میشود که محل مناسبی برای تجمع باکتریها و عفونتهای مداوم است.
- ترشح چرک از اطراف دندان وجود چرک نشانه عفونت فعال است و معمولاً با درد، تورم و بوی بد دهان همراه میشود.
- بوی بد دهان دائمی تجمع باکتریها و عفونت مزمن باعث ایجاد بوی بد دهان مداوم میشود که با مسواک زدن معمولی برطرف نمیگردد.
- درد هنگام جویدن غذا درگیری بافتها و استخوان اطراف دندان باعث ایجاد درد یا ناراحتی هنگام جویدن میشود.
درمان پریودنتیت
درمان پریودنتیت بسته به شدت بیماری، میزان تحلیل استخوان و شرایط عمومی بیمار متفاوت است و معمولاً نیازمند درمانهای تخصصیتری میباشد.
درمانهای غیرجراحی
جرمگیری عمیق (Scaling & Root Planing) در این روش، پلاک و جرمهای زیر لثه و روی ریشه دندان بهطور کامل پاکسازی شده و سطح ریشه صاف میشود تا چسبندگی مجدد لثه تسهیل گردد.
مصرف آنتیبیوتیک موضعی یا خوراکی برای کنترل عفونت باکتریایی، ممکن است آنتیبیوتیک بهصورت موضعی داخل پاکت لثه یا بهصورت خوراکی تجویز شود.
کنترل بیماریهای زمینهای کنترل بیماریهایی مانند دیابت نقش مهمی در موفقیت درمان پریودنتیت دارد، زیرا بیماریهای زمینهای میتوانند روند بهبود را مختل کنند.
درمانهای جراحی
جراحی فلپ لثه در این روش، لثه کنار زده میشود تا دسترسی مستقیم به نواحی عفونی و جرمهای عمیق فراهم شده و پاکسازی کامل انجام گیرد.
پیوند لثه در مواردی که عقبنشینی لثه شدید باشد، از پیوند لثه برای پوشاندن ریشه دندان و بهبود ظاهر و عملکرد لثه استفاده میشود.
بازسازی استخوان فک در صورت تحلیل شدید استخوان، از روشهای بازسازی استخوان برای افزایش استحکام و حمایت دندانها بهره گرفته میشود.
جراحی کاهش عمق پاکت لثه این جراحی با هدف کاهش عمق پاکتها انجام میشود تا تمیز کردن دندانها آسانتر شده و خطر تجمع مجدد باکتریها کاهش یابد.

عوارض عدم درمان بیماریهای لثه
بیتوجهی به بیماریهای لثه میتواند باعث:
- از دست رفتن دندانها
- تحلیل استخوان فک
- افزایش خطر بیماریهای قلبی
- تشدید دیابت
- بوی بد دهان مزمن
- کاهش کیفیت زندگی
پیشگیری از بیماریهای لثه
بهترین راه مقابله با بیماریهای لثه، پیشگیری است:
- مسواک زدن حداقل دو بار در روز
- استفاده روزانه از نخ دندان
- جرمگیری منظم هر ۶ ماه
- ترک سیگار
- تغذیه سالم
- مراجعه منظم به دندانپزشک
تفاوت ژنژیویت و پریودنتیت
| ویژگی | ژنژیویت | پریودنتیت |
|---|---|---|
| شدت بیماری | خفیف | شدید |
| آسیب استخوان | ندارد | دارد |
| قابلیت درمان کامل | بله | محدود |
| خطر از دست دادن دندان | کم | زیاد |
